扎克伯格5亿美元进军人工智能生物学领域

PLUS:无需编码即可构建自定义博客写作代理

阿洛

阿洛

发布于 2026年4月30日

每日简报概述

早上好,人工智能爱好者们。

GoogleDeepmind的Demis Hassabis曾预测,人工智能最终可能终结疾病,而马克·扎克伯格和普莉希拉·陈的Biohub也刚刚投入5亿美元押注于这一领域。
他们新推出的五年虚拟生物学计划(Virtual Biology Initiative)将主要资金与强大的合作伙伴相结合,共同围绕同一目标展开协调:生成足够的数据,以推动人工智能(AI)模拟疾病在细胞层面的起始过程。
提醒:我们的下一场直播研讨会将于今天美国东部时间下午2点举行!

欢迎大家参加,我们将为您演示OpenAI的Codex平台、其新功能,以及非技术用户如何充分利用该平台。

请在此处回复参加。
今日人工智能简报:

  • 扎克伯格的Biohub向人工智能生物学领域投资5亿美元
  • 梅奥诊所人工智能提前3年发现胰腺癌
  • 无需编码即可构建一个自定义博客写作代理
  • 食品人工智能的“ChatGPT时刻”——尝起来像厨师做的
  • 4款全新AI工具、社区工作流程等
1 / 10

🧬 扎克伯格的Biohub向人工智能生物学领域投资5亿美元

🧬 扎克伯格的Biohub向人工智能生物学领域投资5亿美元

人工智能资讯:由马克·扎克伯格和普莉希拉·陈的陈-扎克伯格行动(CZI)资助的非营利组织Biohub宣布了一项5亿美元的虚拟生物学计划,旨在构建能够预测人类细胞行为的开放数据集和模型,推动人工智能向生物学模拟领域发展。
细节如下:

  • 5亿美元中的4亿美元将用于资助数据生成和成像技术,1亿美元用于外部研究实验室和研究工作。
  • 英伟达(Nvidia)、艾伦研究所(Allen Institute)、Arc等机构正加入该倡议,Biohub则承诺开放数据集,作为人工智能生物学研究的共享基础。
  • 目前的人工智能生物学数据集最大容量接近10亿个细胞,Biohub的Alex Rives表示,要加快研究进度,还需要“一个数量级”以上的数据。
  • 目标是在数据上训练模型,利用人工智能“在细胞、分子和组织层面理解疾病并对其进行重编程”
    为何重要:Google的Demis Hassabis曾表示,人工智能最终可能终结疾病,而Biohub正大力投资于这一思路。

问题在于,破解语言和蛋白质结构的规模是否同样适用于细胞,以及5亿美元是否接近找出答案所需的数据规模。

2 / 10

📈 从代理扩张到真正的投资回报

📈 从代理扩张到真正的投资回报

人工智能资讯:各组织正在跨职能部署代理,但很少有组织能获得预期的投资回报率。

请于5月12日参加Glean:LIVE,了解企业代理开发生命周期——一种新的运营模式,它将企业从分散的实验转变为能够产生真正、可衡量影响的代理。
注册参加Glean:LIVE活动:

  • 获得一个可重复的框架,用于大规模构建、启动和管理代理
  • 聆听企业领导者关于塑造其代理策略的决策见解
  • 观看涵盖整个代理生命周期的产品演示——最后还有现场问答环节
    立即注册。
3 / 10

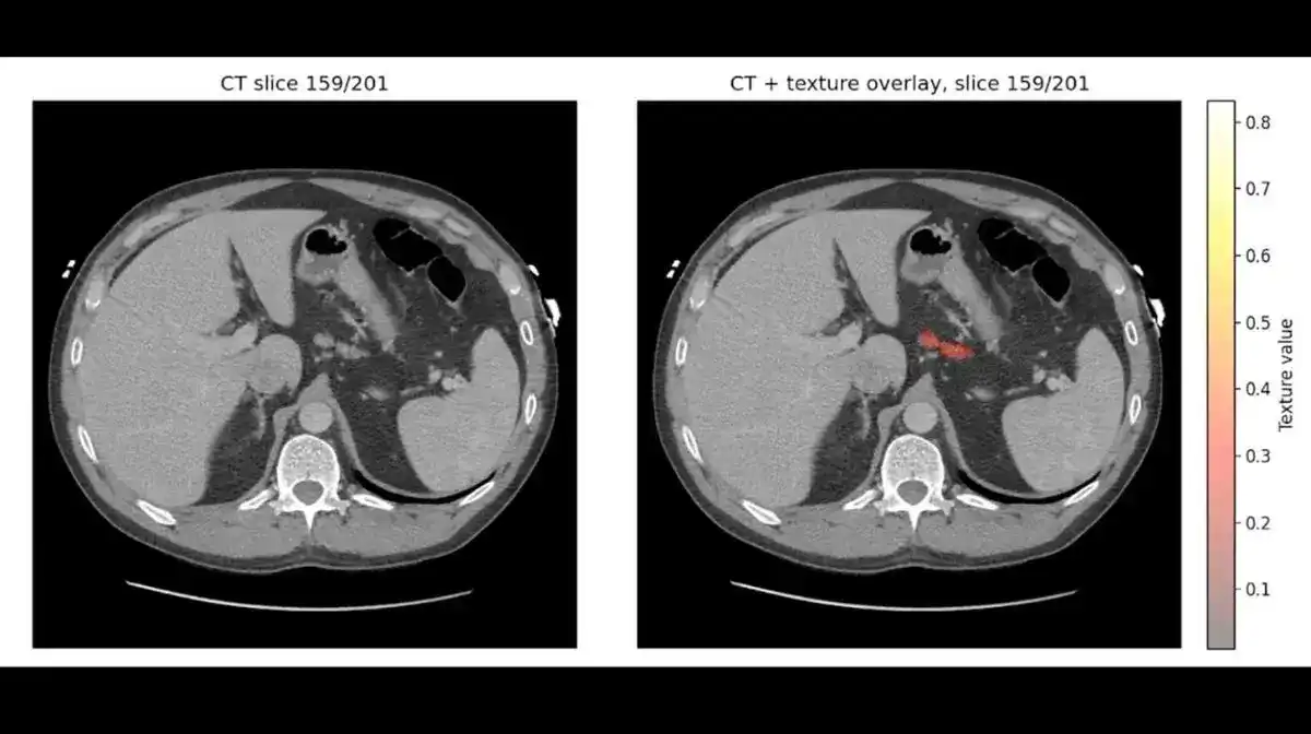
🔬 Mayo Clinic人工智能提前3年发现胰腺癌

🔬 Mayo Clinic人工智能提前3年发现胰腺癌

AI资讯:梅奥诊所发布了关于REDMOD的新数据,REDMOD是一种人工智能技术,能够读取标准CT扫描中不可见的组织模式,能够比医生通常发现胰腺癌的时间提前三年发现该疾病,并使专家诊断的准确性几乎翻倍。
细节如下:

  • REDMOD审查了近2000份常规CT扫描,这些扫描在后续诊断前被专家初步判定为正常,但REDMOD早期发现了其中73%的病例。
  • 在确诊前两年,差距进一步拉大,人工智能检测出的早期癌症数量大约是经验丰富的放射科医生的3倍。
    该模型能够读取“数百个定量成像特征”、纹理以及结构模式,这些通常对人类放射科医生来说是看不见的。
    为何重要:胰腺癌的五年生存率低于15%,因此早期诊断和治疗至关重要。

借助REDMOD对已有扫描结果的分析,人工智能的早期筛查能力有望成为常规护理的标准部分,而非增加系统复杂性的独立诊断步骤。

4 / 10

✍️ 无需编码,即可构建一个自定义博客写作助手

✍️ 无需编码,即可构建一个自定义博客写作助手

人工智能资讯:在本指南中,您将学习如何在Langflow中构建一个子代理,该子代理能够以您网站的风格撰写博客文章。

最大的优点是,该代理可在本地免费运行(除了大型语言模型(LLM)调用外),并且可以通过Claude、Codex等触发。
逐步说明:

  • 下载Langflow,在您的计算机上打开它(它在本地运行),点击“新建”Flow,进入内容生成部分,然后选择“博客作者”模板
  • 添加一个名为“主题”的文本输入框,为智能体提供一个写作主题,并在参考输入中链接你最好的博客,以便智能体可以模仿你的写作风格
  • 在语言模型设置下添加您的OpenAI或Anthropic API密钥。然后选择您希望flow使用的模型
  • 点击“Playground”并使用一个主题进行测试。这将运行flow,导入您的参考样式,并为您生成初稿
    专业提示:如果您想让Claude将此作为子代理使用,请点击“共享”>“MCP服务器”>“Claude MCP”。

这样,Claude就可以在您需要时调用该博客写作工具。

5 / 10

🧠 将企业知识转化为人工智能行动

🧠 将企业知识转化为人工智能行动

人工智能资讯:企业人工智能只有在拥有合适的业务内容时才能发挥作用。Box是代理访问机构知识所需的安全、必不可少的context层,这些知识是公司运营的基础。
Box的人工智能套件包括:

  • Box Extract,用于从企业内容中大规模提取可操作数据
  • Box Agent,用于将非结构化数据转换为context AI所需的数据
  • Box Automate(现已正式发布)用于编排代理式工作流自动化
    5月20日,在Box的内容+AI虚拟峰会上,了解更多关于Box的AI解决方案。
6 / 10

🧑‍🍳 食品AI的“ChatGPT时刻”——味道如同大厨

🧑‍🍳 食品AI的“ChatGPT时刻”——味道如同大厨

人工智能资讯:食品机器人初创公司KAIKAKU AI刚刚发表了一篇新论文《Epicure》,该论文宣称食品人工智能迎来了一个“ChatGPT时刻”,展示了其人工智能模型仅凭厨师在食谱中食材的搭配方式,就能捕捉到风味、烹饪方法和口感。
细节:

  • 研究人员将6653个杂乱的食材条目整理为1032种可用的食物,然后利用人工智能绘制出它们在食谱中的关联图。
  • 尽管从未见过化学数据或味道标签,该模型仍能识别出所有五种基本味道,按辣度对辣椒进行排序,并按地区对菜肴进行分类。
    该团队标记了三项应用:菜单开发、食谱创新和风味搭配,这些工作通常由厨师的直觉来推动。
  • KAIKAKU正将本文中的AI技术与他们的机器人手臂相结合,并将这一组合作为商用厨房的“自主食品基础设施”进行推广。
    为何重要:食谱已成为反映人类偏好的有力数据点,每一个搭配、替换和模式都传递着人们认为有效的信息。

如果人工智能能够解读这种结构,它也能帮助开发工具来设计菜单、提出更好的替代品建议,并create根据实际学习到的口味和质感来设计产品。

7 / 10

🛠️ 热门AI工具

  • 🎶 ElevenMusic - 人工智能歌曲生成、混音、创作者收益平台
  • 🚀 MiMo-V2.5-Pro - 小米强大的全新开源模型
  • 🧠 GPT 5.5 - OpenAI的代理编码与计算机使用前沿模型
  • ⚙️ Cursor SDK - 在其他工作流程和产品中运行Cursor的编码代理
8 / 10

📰 今日人工智能的其他所有内容

ElevenLabs推出了ElevenMusic,这是一个内置AI混音和AI辅助曲目创作的流媒体平台,目前已有4000多名艺术家入驻,并提供创作者收益。
美国众议院两个委员会就中国人工智能使用问题对Cursor制造商Anysphere和Airbnb展开调查,其中Composer 2基于Kimi和Airbnb在Qwen上的代理构建。
Mistral AI推出了Vibe远程代理,这是一种并行运行编码任务的云会话,由该公司的新型开放式权重Medium 3.5模型提供支持。
Google已将文件创建功能添加到Gemini中,使模型能够输出Google文档、表格和幻灯片,MicrosoftWord和Excel文件,Markdown等格式。
OpenAI发布了一项网络安全行动计划,旨在“普及”人工智能网络防御,并与美国政府和行业合作,共同进行威胁协调和开发防御工具。

9 / 10

🤝 社区人工智能工作流程

在每一期通讯中,我们都会展示一位读者如何利用人工智能更高效地工作、节省时间或让生活更轻松。
今天的工作流程来自马里兰州布恩斯伯勒的读者帕特里克·B:
“几个月前,我收到了癌症诊断……要预约各种检查、尝试理解医学概念、我的诊断结果、预约、扫描以及癌症的运作方式,这一切真的让我感到压力山大。

我在Claude中创建了几个资源和工具,包括一个仪表板,帮助我管理我的诊断结果、预约、保险索赔、扫描、治疗、治疗方案等。

这让我还能与家人分享我的病情进展和诊断情况。

作为患者倡导者,这真的让我更容易向我的肿瘤团队提出更好、更有针对性的问题,并且帮助我更好地管理整个过程。

这对于我掌握自己的诊断情况并确保以更详细的方式遵循医生的指示来说,是一个巨大的优势。

此外,由于它像我的医生一样了解我,所以它还为我提供了一个central平台来询问关于我的诊断的问题。

”。
"
你是如何使用人工智能的?请在此处告诉我们。

10 / 10

🎓 亮点:新闻、指南与活动

  • 阅读我们上一期人工智能简报:有史以来最大规模的人工智能试验正式启动
  • 阅读我们上一期的科技通讯:三星的Meta雷朋(Ray-Ban)竞争对手信息刚刚泄露
  • 阅读我们上一期的机器人通讯:《中国机器人禁令即将实施》
  • 今日AI工具指南:无需编码即可构建自定义博客写作助手
  • 回复参加今天下午2点(美国东部时间)的研讨会:Codex 适用于非技术操作人员

相关文章推荐